Distopia Testicular
CONCEITUANDO
Denomina-se distopia testicular a ausência do testículo na bolsa testicular.
É MUITO COMUM
Ocorre em 0,5% dos nascidos a termo e em 5,4% nos prematuros. Sua distribuição é a mesma da hérnia inguinal, sendo 50% a direita, 25% a esquerda e 25% bilateral. Existe história familiar em 12 a 15% dos casos.
FORMAÇÃO E MIGRAÇÃO DOS TESTÍCULOS
Por volta da 6a semana de vida intra-uterina, formam-se os testículos, na região do polo inferir dos rins. Os testículos iniciam sua descida na 26a semana de gravidez, e devem completá-la antes do nascimento. Os fatores responsáveis pela descida testicular não estão claros (tração do gubernáculum, crescimento somático, pressão intrabdominal, maturação epididimal, ação hormonal). Provavelmente trata-se de uma combinação de fatores.
PORQUE O TESTÍCULO NÃO COMPLETA SUA MIGRAÇÃO?
Não está esclarecido. Não é uma afecção uniforme. Devem ocorrer alterações endócrinas, genéticas, anatômicas ou mecânicas.
CLASSIFICAÇÃO ANATÔMICA
O testículo que não desce pode localizar-se em qualquer porção entre o hilo renal e o anel inguinal externo. Pode, ainda, desviar-se de seu trajeto normal, migrando para sítios aberrantes como: subcutâneo da região inguinal, região femoral e períneo. Comparado com o testículo normal eles são menores, mais moles e mais alongados
(Fig 1 e 2).

Fig 1 – Desproporção entre o testículo normal (A) e o criptorquídico (B).

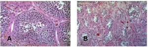
Fig 2 – Microscopia ótica de testículo. Coloração por H&E e aumento de 40X. (A)
Testículo normal. (B) Atrofia testicular por criptorquidia. Podem ser classificados de acordo com sua localização em:
RETIDO (Fig 3): o testículo está no canal inguinal.
RETRÁTIL: o testículo chega até a bolsa porém sobe quando estimulado devido à exacerbação do reflexo cremastérico.
CRIPTORQUÍDICO (Fig 4): o testículo está escondido (não palpável). Corresponde a 15% das distopias.
ECTÓPICO (Fig 5): o testículo está fora do trajeto do canal inguinal. Deve-se provavelmente a fixação anormal do gubernaculum testis.
ANORQUIA: ou ausência de testículo. A agenesia é rara e implica em complexa malformação da crista gonadal. Acidente vascular intrauterino ou perinatal é a causa mais comum da perda de testículo já formado, sendo conhecido como “vanished testis”.

Fig 3 – Testículo retido a direita

Fig 4 – Criptorquidia bilateral

Fig 5 – Testículo direito ectópico
O QUE MUDA NA FISIOLOGIA NORMAL
Os principais efeitos fisiopatológicos da distopia testicular são:
Regulação térmica do testículo
O testículo localiza-se num meio especializado em controle térmico composto por:
• Plexo pampiniforme (rede venosa)
• Pigmentação testicular
• Ausência de gordura no escroto
• Músculos sensíveis a alteração térmica (dartos e cremaster)
Vários estudos clínicos e experimentais mostram as conseqü.ncias do testículo mais aquecido em comparação com o normal. O grau de lesão testicular está diretamente relacionado com o tempo de exposição ao aumento de temperatura e o grau de temperatura (quanto mais alto estiver o testículo mais quente ele estará). Com o passar do tempo o número de espermatogônias (células germinativas) vai diminuindo devido ao aumento da temperatura.
Efeitos endócrinos
As distopias uni ou bilaterais não provocam alterações endócrinas. Modelos experimentais com ratos mostram que a distopia testicular não afeta a produção de testosterona pelas células de Leydig.
Desenvolvimento das células germinativas
A maior preocupação nos testículos distópicos diz respeito à fertilidade. O testículo distópico pode ser responsável pela diminuição da espermatogênse tanto pelo aumento da temperatura, quanto por alterações autoimunes.
Fertilidade
A fertilidade é menor em homens com criptorquidia. Evidências de que alterações nas células germinativas ocorram já no primeiro ano de vida têm induzido os pesquisadores a indicar tratamento cirúrgico mais precocemente. A infertilidade não é muito comum nos casos de criptorquidias unilateral. Nas bilaterais é muito alta.
Malignização
Cerca de 10% dos portadores de neoplasia testicular tem distopia. A incidência de tumor em testículo distópico é 40 vezes maior se comparada com o testículo tópico. A degeneração progressiva das células germinativas talvez seja o fator predisponente para o risco de malignidade. O seminoma é o tumor mais comum do testículo distópico, seguido pelos teratomas e carcinomas embrionários.
Não se sabe ao certo se a orquidopexia pode alterar a incidência de câncer, mas com certeza, permite seu diagnóstico mais precoce pois torne o testículo acessível à palpação.
Hérnia Inguinal
É provavelmente a anomalia mais comumente associada.
Torção
Não é comum, embora sua incidência seja difícil de determinar. Pode ocorrer nos testículos retráteis devido a movimentação exagerada do testículo.
Trauma
O testículo tópico, graças a sua mobilidade, é pouco sujeito a trauma nas atividades diárias. Os testículos ectópicos superficiais, no períneo, raiz da coxa ou pré púbicos são mais suscetíveis a trauma.
Efeitos psicológicos
A anomalia na genitália provoca além de problemas escolares, uma grande ansiedade da família no que diz respeito a infertilidade futura.
ANOMALIAS ASSOCIADAS
As anomalias mais comumente associadas são: hérnia inguinal (65 – 97%), anomalias do trato urinário superior e anomalias do epidídimo (62%). Pode associar-se a síndromes genéticas.
DIAGNÓSTICO
O diagnóstico é feito pelos pais ou pelo pediatra no primeiro exame físico. A palpação da região escrotal deve ser feita em ambiente calmo e com as mãos aquecidas. Na maioria dos casos o testículo distópico será palpado no canal inguinal. Deve-se observar a simetria do escroto, levando em consideração que a aparência do escroto varia muito com a idade.
Mesmo após trazer o testículo para a bolsa deve-se certificar que o mesmo permaneça nela espontaneamente. Antes de se diagnosticar criptorquidia, um exame detalhado da região inguinal, pré-púbica, períneo e raiz da coxa deve ser feito à procura de um testículo ectópico. Na impossibilidade de se localizar o testículo podemos estar diante de uma criptorquidia ou de uma anorquia. Nestas circunstâncias pode-se utilizar a laparoscopia ou exames diagnósticos por imagem:
• Ultrassonografia
• Tomografia computadorizada
• Ressonância nuclear magnética
TRATAMENTO
O tratamento da distopia testicular tem sido periodicamente revisto, tanto na técnica cirúrgica e via de acesso quanto na avaliação da melhor idade para realizá-lo e da necessidade de terapia hormonal.
Idade
As opiniões sobre a melhor idade para a cirurgia baseiam-se nos seguintes princípios:
• Quanto maior a criança, a cirurgia é tecnicamente mais fácil e melhor será o resultado.
• Quanto mais jovem o paciente, maior proteção para o testículo.
Atualmente tem se recomendado correção entre 6 meses e 2 anos.
Deve-se antecipar a indicação cirúrgica quando houver:
• Hérnia inguinal associada pelo risco de encarceramento.
• Ectopia testicular pelo risco de trauma.
Terapia hormonal
Baseia-se no fato da distopia poder ser causada por falha no eixo hipotalâmico. A gonadotrofina coriônica é utilizada até hoje sem que haja comprovação científica de seus resultados. Distopia bilateral e testículos retráteis respondem melhor ao tratamento hormonal.
Cirúrgico
O tratamento cirúrgico (orquidopexia), previne a degeneração do testículo causado pela alta temperatura já que a temperatura no escroto é 30C a 40C menor do que a intra-abdominal. A via inguinal ou, até mesmo a via laparoscópica, têm sido empregadas para realização das orquidopexias. O tratamento consiste na colocação e fixação do testículo distópico no interior da bolsa testicular. Vasos curtos são por vezes, fatores limitantes impedindo, mesmo após dissecção exaustiva, que o testículo alcance a bolsa (Fig.6)

Fig 6 – Orquidopexia esquerda. (A) Dissecção do funículo espermático, (B) fixação do testículo no interior da bolsa.
Considerando-se que os métodos diagnósticos por imagem podem ser falhos na identificação do testículo, por vezes o diagnóstico diferencial entre criptorquidia e anorquia é cirúrgico. Vasos testiculares terminando em fundo cego caracterizam a anorquia. Nos casos de anorquia, a colocação de prótese de silicone pode ser uma alternativa razoável com efeito cosmético e psicológico satisfatórios.
COMPLICAÇÕES DA CIRURGIA
Em mãos experientes as complicações podem chegar a 5%. São representadas por:
• Insucesso em levar o testículo para o escroto
• Atrofia testicular
• Retração testicular
• Obstrução do deferente
• Hemorragia
• Infecção de ferida
